.jpg)
Bệnh viện Phổi Đà Nẵng là một trong 4 bệnh viện chuyên khoa phổi thuộc tuyến khu vực vùng/miền của cả nước, được CTCLQG chuyển giao kỹ thuật, đào tạo chuyên sâu và hỗ trợ chuyên môn trong chẩn đoán, điều trị bệnh lao.
Trong bối cảnh nhiều người mắc lao không có triệu chứng hoặc triệu chứng không điển hình, bệnh viện đã và đang triển khai đồng bộ các kỹ thuật chẩn đoán hiện đại nhằm phát hiện sớm, xác định chính xác tác nhân gây bệnh và tình trạng kháng thuốc ngay từ đầu.
Các kỹ thuật chẩn đoán đang được áp dụng gồm:
- Xét nghiệm GeneXpert: phát hiện nhanh vi khuẩn lao và kháng thuốc chỉ trong 2 giờ;
- Xét nghiệm LPA (Line Probe Assay): xác định lao kháng thuốc bằng sinh học phân tử, công nghệ cao;
- Nuôi cấy vi khuẩn lao và kháng sinh đồ bằng hệ thống MGIT BACTEC: tiêu chuẩn vàng trong chẩn đoán và lựa chọn phác đồ điều trị phù hợp;
- Nội soi phế quản: quan sát trực tiếp tổn thương, lấy bệnh phẩm chính xác phục vụ chẩn đoán;
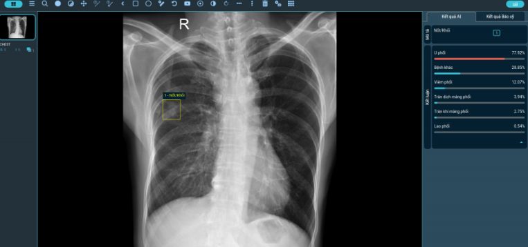
- Ứng dụng trí tuệ nhân tạo (AI) trong đọc phim X-quang phổi: hỗ trợ phát hiện sớm các tổn thương nghi lao;
...........
Chẩn đoán sớm – đúng ngay từ đầu giúp điều trị hiệu quả, rút ngắn thời gian hồi phục, hạn chế lây lan và tiến tới kiểm soát bền vững bệnh lao trong cộng đồng.
Tầm soát sớm là bước đầu tiên để bảo vệ sức khỏe cho chính mình và cộng đồng.
Bệnh viện Phổi Đà Nẵng – 215 Nguyễn Đình Tứ, Hòa Khánh, Đà Nẵng
Kênh thông tin Bệnh viện:
1.Website: https://www.bvpdn.org
2.YouTube: https://www.youtube.com/@bvpdn
3.TikTok: https://tiktok.com/@benhvienphoidanang
4. Facebook: https://www.facebook.com/bvpdn
.jpg)


